With Philips Live Image Guidance we strive to remove the barriers to safer, effective, and reproducible treatment. Intuitive integration of live imaging, patient information, and procedure-based applications optimizes real-time therapy guidance. Build your clinical reputation and realize new revenue opportunites by extending your procedural mix. Increase your return on investment with tailored services to enhance uptime. Together we can make the difference in minimally invasive treatment by opening doors to new procedures and techniques that drive growth and reduce costs. Sign up to receive exclusive updates on Live Image Guidance.

What trends are driving interventional innovations? Hear what your peers are saying.

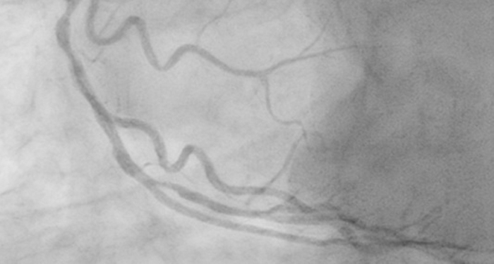
Enhanced visualization and live image-guided navigation through soft tissue, helps you determine the optimal course of treatment with confidence. From routine coronary to the most complex structural heart, congenital, or ablation procedure, our Live Image Guidance solutions provide assistance. This enables clinicians to complete fast, effective and simplified procedures with an efficient clinical workflow and outcome.

Work with confidence to determine the optimal course of treatment. Leverage multimodality Live Image Guidance and 3D data to quickly assess the nature and location of pathology, like tumor, lesions or vascular occlusions and reveal hidden complexities to initial treatment strategy. Receive immediate intra-operative feedback on therapy response. Whether you are implanting a device, treating an aneurysm, embolizing a tumor or removing a clot, our technology helps you to navigate in real time to the target and enable your clinical decision-making.

Visualizing complex bone structures to precisely place screws and implants can be a challenge. Achieving the proper position for targeted, undistorted, high-contrast images is critical. Our mobile surgical imaging solutions provide the flexibility to seamlessly support a wide range of complex orthopedic procedures. From open to minimally invasive, from spinal surgery to fracture repair, they facilitate quick positioning and easy patient access. For even the most challenging cases, high-contrast distortion-free images can increase diagnostic/treatment confidence.
You are about to visit a Philips global content page
Continue