
Whether treating critical limb ischemia, embolizing an uterine fibroid, or performing a biopsy or Endovascular Aneurysm Repair (EVAR) procedure, speed, clarity, and efficient dose management are key. Our multimodality Live Image Guidance solutions deliver critical information to optimize real-time guidance through complex vasculature and visualize tissue perfusion to identify treatment end-point in peripheral vascular interventions. At the same time, our AlluraClarity family with ClarityIQ technology enables physicians to deliver fast, effective, and simplified procedures with an efficient clinical workflow. All while delivering equivalent image quality at a fraction of the dose Sign up to receive exclusive updates on Live Image Guidance.
Our Live Image Guidance expands clinical capabilities through intelligent and intuitive integration of multi-modality images at the point of treatment, enabling confident diagnoses and real-time therapy monitoring.


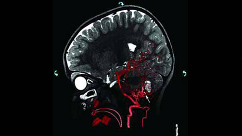
Live 3D MR/CT Roadmap fuses live 2D fluoroscopy on a pre-acquired MR or CT image, which may reveal hidden anomalies and enable real-time motion compensated navigation to support interventional procedures. Live 3D MR/CT Roadmap provides full 3D view for guidance of guidewires, catheters and coils through complex vessel and anatomical structures.


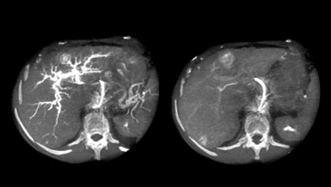
XperCT extends the capabilities of the interventional suite offering CT like imaging to visualize bone, soft tissue and vessels. This CT-like image can be acquired with or without contrast agent right in the angio suite and overlaid with the 3D vascular image. It helps identify subtle soft-tissue lesions and supports in room characterization in arterial and post-arterial phase.


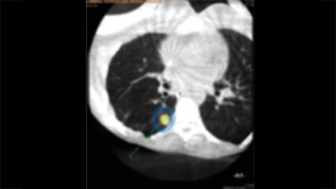
XperGuide Ablation enables real-time needle guidance in the angio suite. Virtual needle paths are created by overlaying previously acquired MR or CT datasets with XperCT data to enable optimal planning of one or multiple needles for full tumor coverage. XperGuide Ablation supports all ablation techniques (such as RF, microwave and cryo-ablation) by displaying the isotherm of the ablation needles.

Dynamic 3D Roadmap provides a sustainable 3D roadmap to support interventional procedures. Dynamic 3D Roadmap matches the real-time 2D fluoroscopy images with the 3D-RA reconstruction of the vessel tree. It provides a 3D real-time insight of the advancement of the guide wire, catheter and coils through complex vessel structures. The Unsubtracted 3D Roadmap option reduces subtraction artifacts caused by patient breathing and movements, providing a clear roadmap during abdominal and thoracic interventions.
By combining disease centric tools, patient data, and procedural protocols in a single suite, clinicians are supported in each of their specific disciplines. This simplifies clinical workflow and promotes efficiency.


Live 3D Roadmap allows you to follow the advancement of guidewires, catheters and coils in real-time. It automatically adapts in real-time to changes in C-arm angulation and rotation, table movement, field of view and source-image distance.


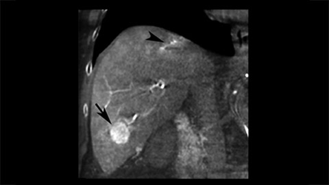
XperCT extends the capabilities of the interventional suite offering CT like imaging to visualize bone, soft tissue and vessels in case of contrast enhanced acquisition. XperCT supports fast abdominal protocols with 5 to 8 seconds acquisition time for excellent image quality while significantly minimizing respiratory artifacts. The XperCT 3D volume is displayed automatically within 8 to 15 seconds after the acquisition and confirms selective targeting of hepatic lesion and helps avoid untargeted embolization and drug delivery.


The integrated CX50 xMATRIX offers Live 3D TEE, and ICE, seamlessly speeding up preparation and eliminating duplication through automatic transfer of patient data- and demographics from X-ray to ultrasound system.

Integrates all relevant images and information together in an interactive, intuitive and procedurally relevant way to expand clinical capabilities and enhance real-time, cross-functional communication. Its unique touchscreen interface offers virtually endless customization flexibility, allowing users to define their own presets and if necessary customize the screen layout ‘on-the-fly’ to suit their needs.
An innovative set of techniques, programs, and practices are used to deliver high quality imaging for a full range of clinical procedures at ultra low dose. This enables comfortable treatment of radiation-sensitive patients and helps manage staff exposure.






A revolutionary new generation of interventional X-ray systems, AlluraClarity with ClarityIQ technology provides high quality imaging for a full range of clinical procedures at ultra low dose levels.


High-resolution 3D-RA vascular images or previously acquired 3D segmented MRA or CTA data is registered to the current patient position through a low X-ray dose 3D-RA scan, allowing ‘re-use’ of contrast and X-ray doses.


Real-time dose feedback tools include DoseAware Xtend for procedure-based feedback on scattered X-ray dose (during and after the procedure) to help manage radiation exposure for patients and staff.
We are committed to working with you to reduce re-admissions, streamline work flow, and increase patient volume by opening the door to new procedures and techniques. By supporting a wide range of procedures you can increase system utilization and reduce the total cost of ownership. Flexible service contracts protect your investment over its entire lifecycle, increasing uptime and providing easy access to upgrades and innovations.
You are about to visit a Philips global content page
Continue