Complex interventions like Chronic Total Occlusion, bifurcation treatment, and multi-vessel disease require long procedure times, which can increase radiation exposure for staff and patients. A reduction in strut thickness makes stents less radio-opaque and harder to see. And the need to maintain good image quality while preventing contrast-induced nephropathy is critical. Our AlluraClarity family with ClarityIQ technology delivers exceptional image quality at a fraction of the dose. Sign up to receive exclusive updates on Live Image Guidance.

Our Live Image Guidance expands clinical capabilities through intelligent and intuitive integration of multi-modality images at the point of treatment, enabling confident diagnoses and real-time therapy monitoring.
By combining disease centric tools, patient data, and procedural protocols in a single suite, clinicians are supported in each of their specific disciplines. This simplifies clinical workflow and promotes efficiency.


The integrated, multi-modality Volcano CORE solution offers intravascular imaging and physiology for coronary and peripheral applications, all with bedside control. IVUS provides detailed and accurate measurements of lumen and vessel size, plaque area and volume, and the location of key anatomical landmarks, without added contrast or radiation. Easily switch between FFR, the gold standard for lesion assessment, and Volcano’s proprietary iFR® modality which measures lesion severity without the need for hyperemic agents.






Designed to meet precise cardiovascular needs, the Allura Centron X-ray system efficiently handles a large variety of procedures quickly and easily. Advanced interventional tools work smoothly in sync with the system, to enhance procedural efficiency.


Xper Flex Cardio may be small in size, but it will have a big impact on your clinical practice thanks to the integrated Fractional Flow Reserve (FFR) measurements and proven Philips ECG capabilities. This system seamlessly integrates with your. Philips Allura X-ray system to optimize workflow in your interventional lab.

This reporting, scheduling, inventory and intelligent data management enhance and simplify workflow for coronary artery treatment. With tools that enhance efficiency on multiple levels, this new solution improves and simplifies workflow for all cardiovascular professionals.

Xcelera is a robust multimodality cardiology image management, analysis and reporting solution that provides patient centric access to cardiology data and examinations.

Integrates all relevant images and information together in an interactive, intuitive and procedurally relevant way to expand clinical capabilities and enhance real time cross functional communication.
An innovative set of techniques, programs, and practices are used to deliver high quality imaging for a full range of clinical procedures at ultra low dose. This enables comfortable treatment of radiation-sensitive patients and helps manage staff exposure.


AlluraClarity family of X-ray systems with ClarityIQ technology delivers superb image quality at 50% dose reduction, helping to minimize patient and staff exposure. You can manage low dose levels to see what you must, without changing the way you work.



Cardiac labs that perform peripheral procedures can now use Vascular StentBoost – based on the established workflow and technology of StentBoost – to enhance visualization of balloons and stents for vascular interventions.

Real-time, procedure-based feedback on scattered X-ray dose (during and after the procedure), helps you manage radiation exposure to patients and staff.
We are committed to working with you to reduce re-admissions, streamline work flow, and increase patient volume by opening the door to new procedures and techniques. By supporting a wide range of procedures you can increase system utilization and reduce the total cost of ownership. Flexible service contracts protect your investment over its entire lifecycle, increasing uptime and providing easy access to upgrades and innovations.
* Subtraction feature is available only with Philips Allura Xper FD series onwards
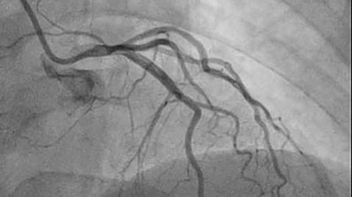
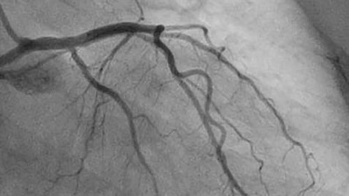
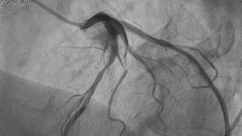
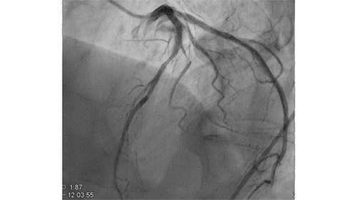
Achieves the desired anatomical views in a single x-ray run for a complete visualization of the complex coronary vasculature and as a result reduces contrast and radiation exposure.
StentBoost Live, enhanced live lesion visualization, is our most advanced technology to quickly verify positioning both before and after deploying balloons, stents, and BVS devices, to display under-deployed stents, and to confirm fully expended stents. StentBoost Live features instantaneous processing, eliminating the need to wait for new images before stent repositioning.
Dynamic Coronary Roadmap creates a dynamic, motion-compensated, real-time view of the coronary arteries. The software program overlays a highlighted coronary angiogram on a 2D fluoroscopic image, creating a colored map that adjusts automatically, providing continuous and exact visual feedback on positioning of wires and catheters.
You are about to visit a Philips global content page
Continue