Our Vascular suite provides dedicated vascular interventional tools and advanced vascular devices to support high levels of standardisation and redefine outcomes for your PAD patients. They support each step of your procedure – as you decide, guide, treat and confirm treatment results.

SmartCT Roadmap overlays a 3D reconstruction using SmartCT Angio or SmartCT Soft Tissue, to emphasise target vessel and lesions, aiding guidewire and catheter navigation through complex vessel structures. All controlled via the touch screen at the table.

Our Azurion Hybrid OR solutions provide an innovative surgical care environment that offers exceptional procedural flexibility and ease of use, while meeting the highest standards for surgical infection control and hygiene. The ceiling-mounted system provides unlimited imaging flexibility for diverse procedures and exceptional positioning freedom for medical teams. You get all this in a compact set-up, providing a highly cost-effective environment ready for the procedures of the future. By working around you, Philips Azurion with FlexArm helps you optimise your suite performance and deliver superior care.

VesselNavigator provides an intuitive and continuous 3D roadmap based on existing CTA and MRA datasets to guide you through vasculature during peripheral procedures.

Our peripheral imaging catheters help assess the location of the disease and lesion morphology, including calcium and thrombus. IVUS can also be used to appropriately size stents and confirm completeness of treatment.

Our peripheral atherectomy devices are excellent tools for removing blockages from the bloodstream. Our non-laser products operate as standalone devices that don't have to be paired with other systems.

The adaptable Philips portfolio of peripheral vascular products and technologies help enable clinicians to quickly and accurately assess peripheral vascular patients, and prepare vessels for the precise delivery of optimal treatment.

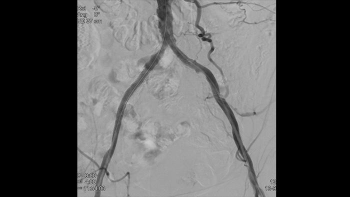
High-definition images of vessels with superior vascular detail to support precise treatment strategies, navigation and follow-up.
Solutions for Venous procedures offered by Philips image-guided therapy.
Learn more Disclaimer Product availability is subject to country regulatory clearance. Please contact your local sales representative to check the availability in your country. References 1. Jens S, Marquering HA, Koelemay MJ, Reekers JA. Perfusion angiography of the foot in patients with critical limb ischemia: description of the technique. Cardiovasc Intervent Radiol. 2015 Feb;38(1):201-5. doi: 10.1007/s00270-014-1036-5. 2. Results are specific to the institution where they were obtained and may not reflect the results achievable at other institutions. * Results from case studies are not predictive of results in other cases. Results in other cases may vary.
You are about to visit a Philips global content page
Continue