
This ceiling-mounted system provides unlimited imaging flexibility and exceptional positioning freedom. Seamlessly control all relevant applications from a single touch screen at table side, to help make fast, informed decisions while remaining in the sterile field. Philips Azurion with FlexArm works around you so you can advance your suite performance and deliver superior care.

Easily control advanced 3D acquisition, visualisation and measurements at table side to improve lab flexibility and efficiency. Segmentation tasks are semi-automated and made available on the touch screen to speed up your 3D image analysis. SmartCT is designed to make 3D imaging accessible to clinical users. SmartCT offers step by step guidance throughout the whole 3D image acquisition leaving you no room for guess work and empowering you to deliver superior care to your patients.

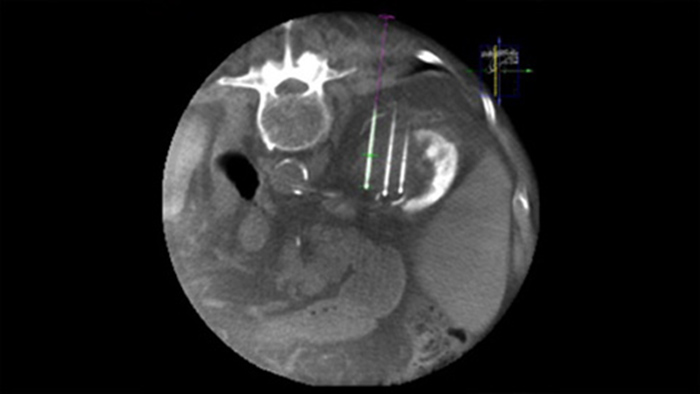
XperGuide Ablation* provides comprehensive assistance for treatment planning and live needle guidance. It offers unique Parallax Correction to plan needle trajectories for off-center lesions.1 To optimise the needle position for effective ablation, this tool displays the virtual needle path to assist in multiple needle planning. It shows needle characteristics such as ablation zone/isotherm to confirm complete tumor coverage prior to ablation.

Lesion heterogeneity and lack of conspicuity limit the quality of specimens as well as the feasibility of biopsies when performed under ultrasound or conventional CT. With the increasing adoption of screening programs in lung, early lung cancers manifesting as small nodules have been detected more frequently than ever before. 14.5% of a screened population was observed to have nodules ≤10 mm.1-2 Our needle navigation technology with CBCT increases precision, and enables the targeting of smaller (<=1 cm) or heterogeneous lesions more accurately with less needle repositioning and at lower dose than conventional CT.1-2
compared to conventional CT 1
Less needle repositioning compared to conventional CT 1
Lower skin dose compared to conventional CT 1


Percutaneous ablation (radiofrequency, microwave, and cryoablation), is a well-established minimally invasive treatment of kidney, liver, lung and bone tumors. It is critical to define the tumor boundaries and decide on an optimal number of needles and corresponding needle trajectory to be able to perform a complete tumor treatment and not to cause damage to surrounding tissue. Navigating accurately at low dose to the lesion of interest without needle repositioning increases the opportunity for success and reduces risk for complications of your biopsies or ablations. Confirmation of ablation treatment endpoint can be accomplished with 3D imaging while the patient is still on the table.

SmartCT Soft Tissue offers a Cone Beam CT (CBCT) acquisition technique augmented with step-by-step guidance, advanced 3D visualisation and measurement tools; all accessible on the touch screen module at table side.

Dual View allows the overlay of a pre-procedure 3D image (CT/MR/PET-CT) on an intra-procedure 3D CBCT Dual to better visualisation the lesions and access critical input for needle planning.

XperGuide provides highly accurate live image guidance of each needle to a targeted position by overlaying pre-planned trajectories with fluoroscopic imaging.3

With CBCT acquire a post-ablation CBCT to demonstrate the extent of tumor coverage and confirm completeness of your treatment.
Solutions for effective guidance in treatment and decision making for tumor embolisation offered by Philips image-guided therapy.
Click here to learn more Disclaimer Product availability is subject to country regulatory clearance. Please contact your local sales representative to check the availability in your country. References * XperGuide Ablation is an option-feature of XperGuide
You are about to visit a Philips global content page
Continue